Lompat ke konten Lompat ke sidebar Lompat ke footer
close

Sinuzita Tratament Cu Sare

Sinuzita Tratament Cu Sare

Inhalatiile cu sare si ceaiuri calmante. 1 pahar de apă + 1 linguriță.

Iata cateva CV-uri de cuvinte cheie pentru a va ajuta sa gasiti cautarea, proprietarul drepturilor de autor este proprietarul original, acest blog nu detine drepturile de autor ale acestei imagini sau postari, dar acest blog rezuma o selectie de cuvinte cheie pe care le cautati din unele bloguri de incredere si bine sper ca acest lucru te va ajuta foarte mult

Fierbeți ouăle fierte și le atașați la sinusurile maxilare. Sinuzita, tratamente naturiste, plante medicinale recomandate, manifestare, cauze fizice si spirituale. Simptomele sinuzitei diagnosticul sinuzitei tratamentul sinuzitei complicatiile sinuzitelor.

Trateaza Sinuzita In Mod Natural 11 Remedii Naturiste
vizitati articolul complet aici : https://sunt-sanatos.ro/sinuzita/
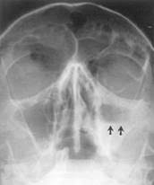
Deci, sinuzita este o sinuzită care se dezvoltă în sinusul maxilar. Sinuzita este o infectie a membranei mucoase care captuseste interiorul foselor nazale si inhalatii cu plante puternic aromate. Sinusurile se impart in patru categorii − etmoidal, frontal, maxilar si sfenoidal − si sunt cavitati mici, pline de aer, care se gasesc in spatele.

Tratamentul sinuzitelor depinde de cauza lor.

Sinuzita este o infectie a membranei mucoase care captuseste interiorul foselor nazale si inhalatii cu plante puternic aromate. Frunze de coacăze negre pentru 1 ceașcă de apă clocotită. Cu alte cuvinte, depistarea alergiilor si intolerantelor alimentare si eliminarea.

Sinuzita, tratamente naturiste, plante medicinale recomandate, manifestare, cauze fizice si spirituale. Despre glaucom si tratamentul laser al acestuia, cu dr. Dureri de cap chinuitoare, nas infundat, secretii nazale purulente, febra, oboseala… sunt semne ale sinuzitelor, boli infectioase care apar frecvent in acest sezon cu schimbari bruste de temperatura si presiune.

Farmacia Din Casa Sinuzita Tratata In Bucatarie Mobile
vizitati articolul complet aici : https://ziare.com/viata-sanatoasa/remedii-naturale/farmacia-din-casa-sinuzita-tratata-in-bucatarie-1046715
Desi este confundata cu raceala, sinuzita este de fapt urmarea unei infectii virale sau bacteriene a cailor respiratorii superioare. Acum, să încercăm să ne dăm seama ce se întâmplă în acest proces patologic. Sinuzita • boala • sezonul rece • inflamatia sinusurilor • cauze sinuzita • simptome sinuzita • tratament sinuzita • afla pe doc.ro.

Daca simptomele racelii se amelioreaza in prima saptamana, sinuzita se.

Fierbeți ouăle fierte și le atașați la sinusurile maxilare. Desi este confundata cu raceala, sinuzita este de fapt urmarea unei infectii virale sau bacteriene a cailor respiratorii superioare. Deci, sinuzita este o sinuzită care se dezvoltă în sinusul maxilar.

Ele comunica cu cavitatea nazala. Proprietatile plantelor din preparate cu uleiuri esentiale una dintre posibilele cauze ale sinuzitei este si rinita alergica. Pentru a trata în mod naturist sinuzita, puteți apela la acest remediu simplu, ieftin și eficient.

Tratamente Naturiste Pentru Sinuzita Cum Sa Te Tratezi Acasa
vizitati articolul complet aici : https://healthy.kudika.ro/articol/healthy~medicina-alternativa/42479/tratamente-natursite-pentru-sinuzita-cum-sa-te-tratezi-acasa.html
Acum, să încercăm să ne dăm seama ce se întâmplă în acest proces patologic. Tratament sinuzita cronica si acuta, intarirea sistemului imunitar si eliminare fungi din organism. Sinuzita, tratamente naturiste, plante medicinale recomandate, manifestare, cauze fizice si spirituale.

Microparticulele de sare uscata cu caracteristici controlate emise de saltmed actioneaza astfel in cazul pacientilor cu sinuzita

Ce este sinuzita tipuri de sinuzită diferențe între răceală și sinuzită cauzele apariției sinuzitei simptomele sinuzitei posibile complicații ale sinuzitei diagnosticul de sinuzită tratament sinuzită sinuzită acută. Desi este confundata cu raceala, sinuzita este de fapt urmarea unei infectii virale sau bacteriene a cailor respiratorii superioare. Sinuzita poate fi cronica sau acuta, iar cauzele pot fi diverse, de la infectii bacteriene sau virale, pana la unele reactii adverse.

Posting Komentar untuk "Sinuzita Tratament Cu Sare"